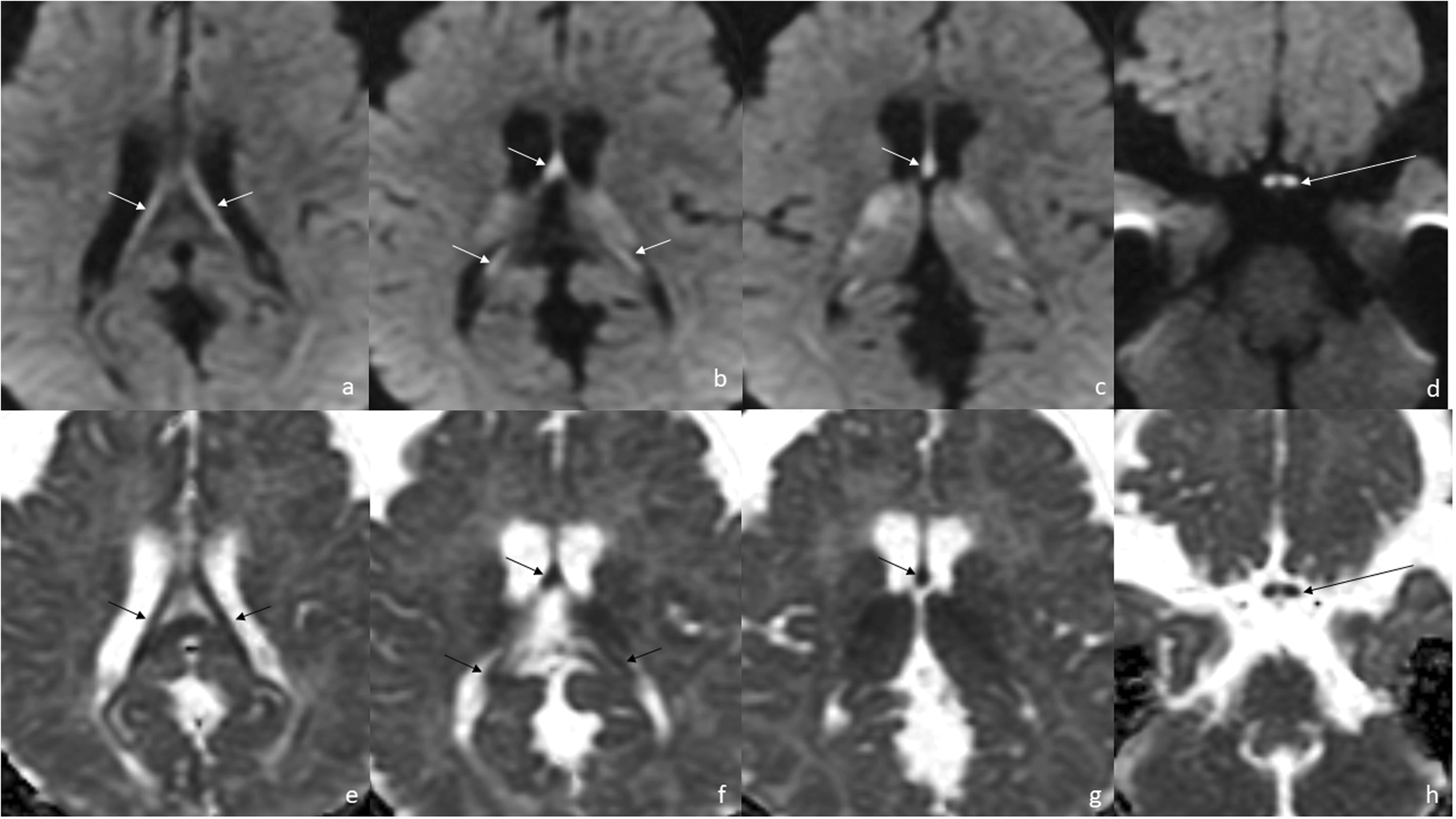
Fig. 2From: Increasing the spectrum of white matter diseases with tigroid pattern on MRI: glutaric aciduria type 1 – case reportScan 1) at the age of 8 months. Diffusion restriction in the fornix (a-c, e-g, short arrows) and in the optic chiasm (d, h) (a-d: DWI, e-h: ADC maps, long arrows). The involvement of the globi pallidi is also seen (c, g)Back to article page