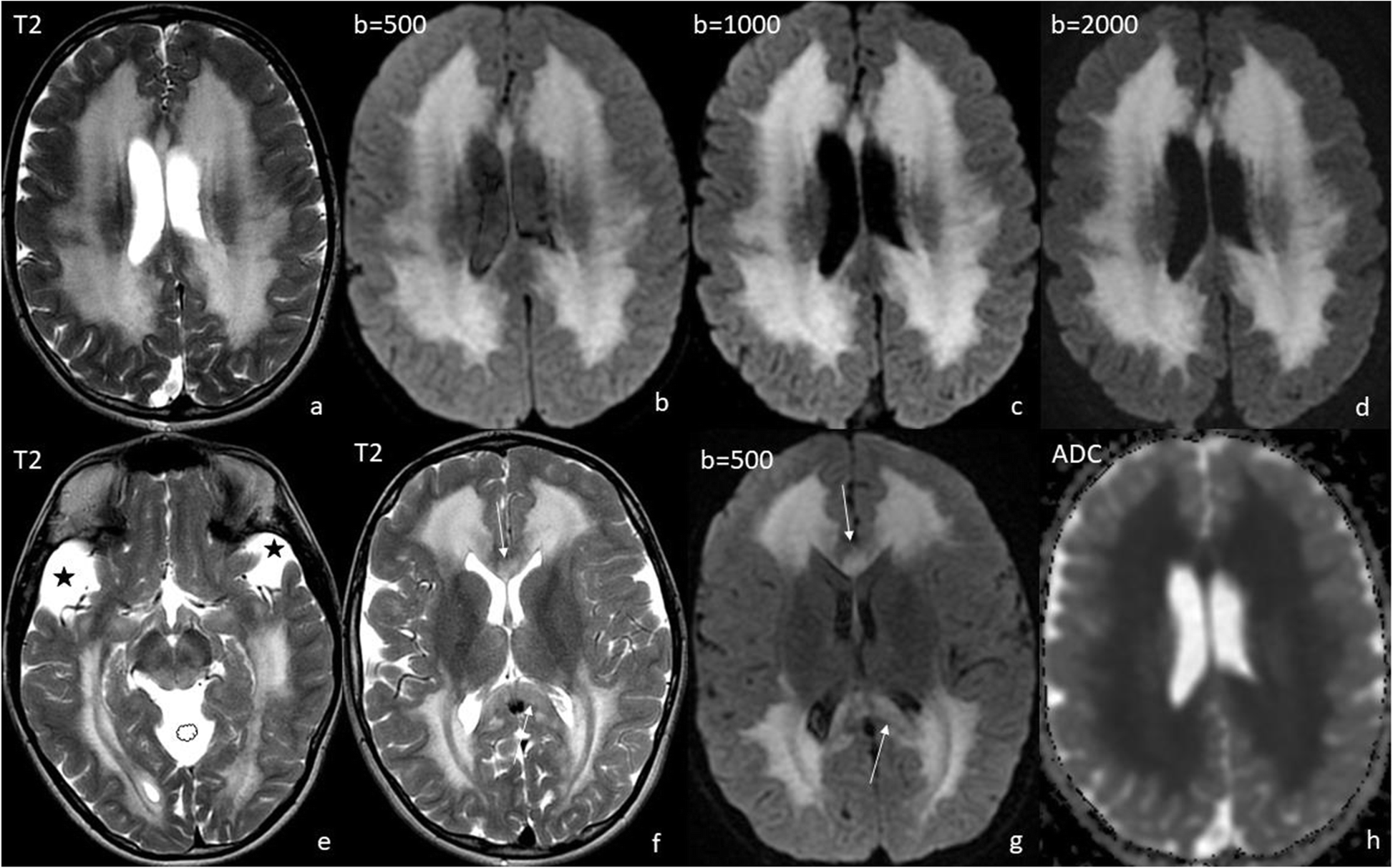
Fig. 3

Scan 3) at the age of 10 years. Diffuse symmetrical white matter involvement with tigroid pattern (a-g) and diffusion restriction (h). Note regression of subdural hygromas and of lesions in the pallidum as well as callosal involvement (f, g, arrows). Widened Sylvian fissures (asterisks) and mesencephalic cistern (cloud) as a constant feature of GA-1 (e)